Air bronchogram
An air bronchogram is defined as a pattern of air-filled bronchi on a background of airless lung.[1]

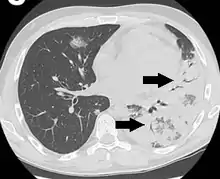
Consolidations
In pulmonary consolidations and infiltrates, air bronchograms are most commonly caused by pneumonia or pulmonary edema (especially with alveolar edema).[2][3]
Other potential causes of consolidations or infiltrates with air bronchograms are:[2]
- Pulmonary edema
- Non-obstructive atelectasis
- Severe interstitial lung disease
- Pulmonary infarct
- Pulmonary hemorrhage
- Normal expiration
Lung nodules
For lung nodules, air bronchograms used to be associated with infectious causes of consolidation and, therefore to be benign. However, in the setting of a lung nodule, an air bronchogram is actually more frequent in malignant than in benign nodules.[1][4] studied the tumour-bronchus relationship and described five types:[1]
- In “Type 1” the bronchial lumen is patent up to the tumour.
- In “Type 2” the bronchus is contained in the tumor.
These types are more common in malignant nodules.
- A compressed and narrowed bronchus is defined as “Type 3”, and can occur in both benign and malignant nodules.
- Narrowing of the proximal bronchial tree is described as “type 4” and is associated with malignancy.
- “Type 5” is a bronchus compressed and flattened by the nodule with intact smooth wall. This type is mainly seen in benign nodules.
Keeping in mind how a tumour with lepidic growth expands, it is not surprising that the air bronchogram in these tumours is smooth. In contradistinction, a desmoplastic response may cause irregularities of the bronchogram.[1] When retraction of tumoural fibrosis occur, the air bronchogram can even become somewhat dilated. Although this sign can occur in all lung cancer cell types, it is more common in adenocarcinoma.[1] Studies suggest the association of this sign with an activated epidermal growth factor receptor (EGFR) mutation.[1]
References
- Snoeckx, Annemie; Reyntiens, Pieter; Desbuquoit, Damien; Spinhoven, Maarten J.; Van Schil, Paul E.; van Meerbeeck, Jan P.; Parizel, Paul M. (2017). "Evaluation of the solitary pulmonary nodule: size matters, but do not ignore the power of morphology". Insights into Imaging. 9 (1): 73–86. doi:10.1007/s13244-017-0581-2. ISSN 1869-4101. PMC 5825309. PMID 29143191.
Material was copied from this source, which is available under a Creative Commons Attribution 4.0 International License. - Dr Yuranga Weerakkody and Dr Behrang Amini. "Air bronchogram". Radiopaedia. Retrieved 2019-04-26.
- Algin, Oktay; Gokalp, Gokhan; Topal, Ugur (2009). "Signs in chest imaging: a pictorial review". Diagnostic and Interventional Radiology. 17 (1): 18–29. doi:10.4261/1305-3825.DIR.2901-09.1. ISSN 1305-3825. PMID 20669122.
- Qiang, JW; Zhou, KR; Lu, G; et al. (2004). "The relationship between solitary pulmonary nodules and bronchi: multi-slice CT–pathological correlation". Clin Radiol. 59 (12): 1121–1127. doi:10.1016/j.crad.2004.02.018. PMID 15556595.