Ehrlichiaceae
The Ehrlichiaceae are a family of bacteria, included in the order Rickettsiales.[1]
| Ehrlichiaceae | |
|---|---|
![]() | |
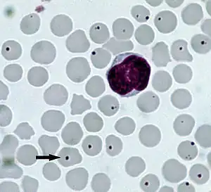
| The rickettsial bacterium Anaplasma centrale infecting red blood cells of a cow. Arrow points to typical infected cell. | |
| Scientific classification | |
| Domain: | Bacteria |
| Phylum: | Pseudomonadota |
| Class: | Alphaproteobacteria |
| Order: | Rickettsiales |
| Family: | Ehrlichiaceae Moshkovski 1945 (Approved Lists 1980) |
| Genera[1] | |
| |
| Synonyms[5] | |
| |
References
- Euzéby JP, Parte AC. "Ehrlichiaceae". List of Prokaryotic names with Standing in Nomenclature (LPSN). Retrieved June 1, 2021.
- Eshoo MW, Carolan HE, Massire C, Chou DM, Crowder CD, Rounds MA, Phillipson CA, Schutzer SE, Ecker DJ (2015). "Survey of Ixodes pacificus Ticks in California Reveals a Diversity of Microorganisms and a Novel and Widespread Anaplasmataceae Species". PLOS ONE. 10 (9): e0135828. Bibcode:2015PLoSO..1035828E. doi:10.1371/journal.pone.0135828. PMC 4574436. PMID 26375033.
- Kawahara M, Rikihisa Y, Isogai E, Takahashi M, Misumi H, Suto C, Shibata S, Zhang C, Tsuji M (2004). "Ultrastructure and phylogenetic analysis of "Candidatus Neoehrlichia mikurensis" in the family Anaplasmataceae, isolated from wild rats and found in Ixodes ovatus ticks". Int J Syst Evol Microbiol. 54 (Pt 5): 1837–1843. doi:10.1099/ijs.0.63260-0. PMID 15388752.
- Kreier JP, Ristic M (1963). "Anaplasmosis. XII. The growth and survival in deer and sheep of the parasites present in the blood of calves infected with the Oregon strain of Anaplasma marginale". Am J Vet Res. 24: 697–702. PMID 14035670.
- Hördt, Anton; López, Marina García; Meier-Kolthoff, Jan P.; Schleuning, Marcel; Weinhold, Lisa-Maria; Tindall, Brian J.; Gronow, Sabine; Kyrpides, Nikos C.; Woyke, Tanja; Göker, Markus (7 April 2020). "Analysis of 1,000+ Type-Strain Genomes Substantially Improves Taxonomic Classification of Alphaproteobacteria". Frontiers in Microbiology. 11: 468. doi:10.3389/fmicb.2020.00468. PMC 7179689. PMID 32373076.
This article is issued from Wikipedia. The text is licensed under Creative Commons - Attribution - Sharealike. Additional terms may apply for the media files.
