Sclerosis (medicine)
Sclerosis (from Greek σκληρός sklērós, "hard") is the stiffening of a tissue or anatomical feature, usually caused by a replacement of the normal organ-specific tissue with connective tissue. The structure may be said to have undergone sclerotic changes or display sclerotic lesions, which refers to the process of sclerosis.
| Sclerosis | |
|---|---|
| Other names | Sclerosus |
![]() | |
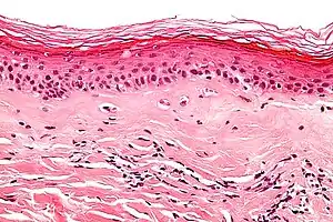
| Micrograph of subepithelial sclerosus (middle third of image) in a case of lichen sclerosus. H&E stain. | |
Common medical conditions whose pathology involves sclerosis include:
- Amyotrophic lateral sclerosis—also known as Lou Gehrig's disease or motor neurone disease—a progressive, incurable, usually fatal disease of motor neurons.
- Atherosclerosis, a deposit of fatty materials, such as cholesterol, in the arteries which causes hardening.
- Focal segmental glomerulosclerosis is a disease that attacks the kidney's filtering system (glomeruli) causing serious scarring and thus a cause of nephrotic syndrome in children and adolescents,[1] as well as an important cause of kidney failure in adults.
- Hippocampal sclerosis, a brain damage often seen in individuals with temporal lobe epilepsy.
- Lichen sclerosus, an inflammatory skin disease that most often affects the vulva and the penis.
- Multiple sclerosis, or focal sclerosis,[2] is a central nervous system disease which affects coordination.
- Osteosclerosis, a condition where the bone density is significantly increased, resulting in decreased lucency on radiographs.
- Otosclerosis, a disease of the ears.
- Primary lateral sclerosis, progressive muscle weakness in the voluntary muscles.
- Primary sclerosing cholangitis, a hardening of the bile duct by scarring and repeated inflammation.
- Systemic sclerosis (progressive systemic scleroderma), a rare, chronic disease which affects the skin, and in some cases also blood vessels and internal organs.
- Tuberous sclerosis, a rare genetic disease which affects multiple systems.
References
- "Welcome To The NephCure Foundation". Archived from the original on 2009-06-02.
- "Focal sclerosis definition - Medical Dictionary definitions of popular medical terms easily defined on MedTerms". Medterms.com. 2012-09-20. Retrieved 2013-01-12.
External links
This article is issued from Wikipedia. The text is licensed under Creative Commons - Attribution - Sharealike. Additional terms may apply for the media files.
