Atypical polypoid adenomyoma
Atypical polypoid adenomyoma (APA) is a rare benign tumour of the uterus.[1]
| Atypical polypoid adenomyoma | |
|---|---|
![]() | |
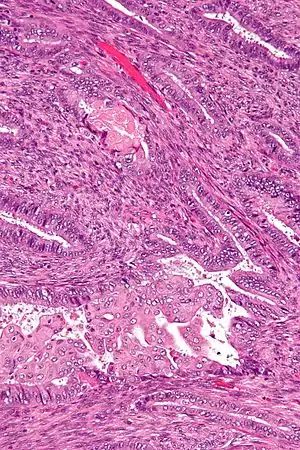
| Micrograph of an atypical polypoid adenomyoma. H&E stain. | |
| Specialty | Pathology |
Pathology
APAs are characterized by glands with abnormal shapes that: (1) often have squamous metaplasia, and (2) are surrounded by benign smooth muscle.[1] Nuclear atypia, if present, is mild.
The microscopic differential diagnosis includes endometrial carcinoma and endocervical adenocarcinoma.
Intermed. mag.
Very high mag.
See also
References
This article is issued from Wikipedia. The text is licensed under Creative Commons - Attribution - Sharealike. Additional terms may apply for the media files.
