Buttock cell
Buttock cells are cells having a notched appearance that are found in certain malignancies,[1] such as non-Hodgkin's lymphoma (including follicular lymphoma),[2][3] mycosis fungoides,[4] and Sézary syndrome.[4][5]

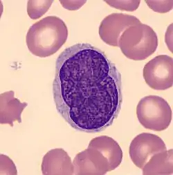
Buttock cell seen in Sézary syndrome (Peripheral blood - MGG stain)
See also
References
- DeVita Jr., Vincent T.; Lawrence, Theodore S.; Rosenberg, Steven A. (7 January 2015). DeVita, Hellman, and Rosenberg's Cancer: Principles & Practice of Oncology. Wolters Kluwer Health. p. 5795. ISBN 9781469894553.
Involvement of peripheral blood with malignant cells is commonly seen, and morphologically, these cells have notches and have been referred to as buttock cells.
- Spitalnik, Steven L.; Arinsburg, Suzanne; Jhang, Jeffrey (22 September 2014). Clinical Pathology Board Review. Elsevier Health Sciences. p. 310. ISBN 9780323186551.
It is important to be able to recognize buttock cells and to know that they represent cleaved centrocytic cells of follicular lymphoma.
- Verbunt RJ, den Ottolander GJ, Kluin PM, Brederoo P, Kluin-Nelemans HC (1989). "Circulating buttock cells in non-Hodgkin's lymphoma". Leukemia. 3 (8): 578–84. PMID 2787452.
Leukemic B cells with a characteristically sharp nuclear cleft seemingly dividing the nucleus into two or more parts have been entitled "buttock cells" and are subject of this study. These cells were found in leukemic non-Hodgkin's lymphomas (NHL) and usually have been related to follicular center cell lymphomas.
- O'Connell, Theodore X. (28 November 2013). USMLE Step 2 Secrets. Elsevier Health Sciences. p. 240. ISBN 9780323225021.
- Mazza, Joseph (2002). Manual of Clinical Hematology. Lippincott Williams & Wilkins. p. 320. ISBN 9780781729802.
Patients with low-grade (small-cell or nodular small-cell types) lymphoma may have peripheral blood involvement that may be evident on the peripheral blood smear as immature lymphocytes with cleft nuclei (buttock cells).
This article is issued from Wikipedia. The text is licensed under Creative Commons - Attribution - Sharealike. Additional terms may apply for the media files.