Candelária Formation, Paraná Basin
The Candelária Formation, in other literature also referred to as Candelária Sequence,[1][2][3] is a sedimentary formation of the Santa Maria Group (also called Santa Maria Supersequence) in the Paraná Basin in Rio Grande do Sul, southeastern Brazil.[4] The formation dates to the Carnian of the Late Triassic, locally referred to as Tuvalian, from 231.4 to approximately 222 Ma.
| Candelária Formation | |
|---|---|
| Stratigraphic range: Late Carnian (Tuvalian) ~ | |
![]() Outcrop map of the Candelária Formation | |
| Type | Geological formation |
| Unit of | Santa Maria Group |
| Sub-units | Hyperodapedon & Riograndia Assemblage Zones |
| Underlies | Caturrita Formation |
| Overlies | Santa Maria Formation |
| Lithology | |
| Primary | Mudstone |
| Other | Sandstone |
| Location | |
| Coordinates | 29.6°S 53.5°W |
| Approximate paleocoordinates | 42.4°S 14.7°W |
| Region | Rio Grande do Sul |
| Country | |
| Extent | Paraná Basin |
| Type section | |
| Named for | Candelária |
![]() Candelária Formation, Paraná Basin (Brazil) | |
The Candelária Formation is composed of mudstones and sandstones deposited in a lacustrine to deltaic (distal floodplain) environment. It overlies the Santa Maria Formation and is partly overlain by and partly laterally equivalent to the Caturrita Formation. The formation comprises two Assemblage zones; the older Hyperodapedon and the younger Riograndia Assemblage Zones. Several cynodonts and other therapsids as well as early dinosaurs were found in the formation in the vicinity of Agudo.
Description

The Candelária Formation or Sequence corresponds to a third-order sequence placed in the Santa Maria Supersequence. The basal portion of the formation consists of a coarsening-upward succession that begins with red mudstones, interbedded with small-scale trough cross-bedded sandstone lenses. Rhythmites and sigmoidal massive to climbing cross-laminated sandstone bodies are also present. This facies association is interpreted as a lacustrine to deltaic (distal floodplain)[5] depositional environment in a humid climate. The formation contains the Hyperodapedon and Riograndia Assemblage Zones.[6][7]
The red beds are divided into a non-fossiliferous portion at the base, and an upper fossiliferous unit. Coprolites and putative rhizoliths are present. A light-colored cross-bedded sandstone also occurs at the top of the formation and represents a river channel. It is delimited by an erosive contact with the underlying red beds.[5]
The Candelária Formation is considered a local equivalent of the Caturrita Formation,[8] which it partly underlies. It overlies the Santa Maria Formation.[9] The formation is correlated with the Ischigualasto Formation of the Ischigualasto-Villa Unión Basin in northwestern Argentina.[2]
Basin history

The megaregional Paraná Basin, covering an approximate area of 1,500,000 square kilometres (580,000 sq mi) in southeastern South America, was in the late Paleozoic and early Mesozoic part of Gondwana, the southern latitude area of Pangea. Before the opening of the South Atlantic, a rifting phase that started in the Jurassic, the basin was connected to the basins of present-day southern Africa. The Candelária Formation forms part of the Gondwana II Supersequence representing the onset of continental deposition in the Paraná Basin. The Triassic paleofauna of the Paraná Basin is correlated with the African faunas of the Omingonde Formation of the Waterberg Basin in Namibia, the Molteno Formation of the Karoo Basin in South Africa and the Fremouw Formation of present-day Antarctica.[10]
Fossil content


The formation has provided fossils of therapsids characteristic of the Late Triassic, as well as early dinosaurs.[4]
| Group | Fossils | Assemblage zone | Image | Notes |
|---|---|---|---|---|
| Dinosaurs | Erythrovenator jacuiensis | [11] | ||
| Macrocollum itaquii | ![]() |
[12] | ||
| Dinosauria indet. | ![]() | [13] | ||
| Archosauromorpha indet. | [14] | |||
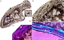
| Therapsids | Brasilitherium riograndensis | Riograndia | ![]() ![]() Brasilitherium riograndensis | [2] |
| Brasilodon quadrangularis | Riograndia | [2] | ||
| Botucaraitherium belarminoi | Riograndia | [15] | ||
| Irajatherium hernandezi | Riograndia | ![]() | [2] | |
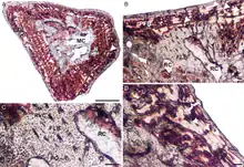
| Prozostrodon brasiliensis | Hyperodapedon | ![]() | [2][16] | |
| Siriusgnathus niemeyerorum | [14] | |||
| Probainognathia indet. | [14] | |||
| Rhynchosaurs | Hyperodapedon sp. | Hyperodapedon | ![]() | [7][16] |
| Rhynchocephalians | Lanceirosphenodon ferigoloi | Riograndia | [17] | |
See also
- List of dinosaur-bearing rock formations
- Chañares Formation, fossiliferous formation of the Ischigualasto-Villa Unión Basin, Argentina
- Santa Juana Formation, contemporaneous fossiliferous formation of south-central Chile
- Molteno Formation, contemporaneous fossiliferous formation of Lesotho and South Africa
- Pebbly Arkose Formation, contemporaneous fossiliferous formation of Botswana, Zambia and Zimbabwe
- Denmark Hill Insect Bed, contemporaneous fossiliferous unit of Queensland, Australia
- Madygen Formation, contemporaneous Lagerstätte of Kyrgyzstan
References
- Müller et al., 2017, p.543
- Botha-Brink, 2018, p.7
- Martinelli et al., 2017, p.528
- Candelária Formation at Fossilworks.org
- Pretto et al., 2015, p.2
- Soares et al., 2014, p.1675
- Pacheco et al., 2017, p.2
- Da Rosa & Faccini, 2005, p.21
- Da Rosa & Faccini, 2005, p.18
- Milani et al., 2007
- Rodrigo T. Müller (2020). "A new theropod dinosaur from a peculiar Late Triassic assemblage of southern Brazil". Journal of South American Earth Sciences. in press: Article 103026. doi:10.1016/j.jsames.2020.103026.
- Müller, Rodrigo Temp; Langer, Max Cardoso; Dias-da-Silva, Sérgio (November 2018). "An exceptionally preserved association of complete dinosaur skeletons reveals the oldest long-necked sauropodomorphs". Biology Letters. 14 (11): 20180633. doi:10.1098/rsbl.2018.0633. ISSN 1744-9561. PMC 6283919. PMID 30463923.
- Müller et al., 2018, p.545
- Niemeyer, Agudo at Fossilworks.org
- Soares et al., 2014, p.1677
- Marchezan at Fossilworks.org
- Romo de Vivar et al., 2020
Bibliography
- Botha-Brink, Jennifer; Marina Bento Soares, and Agustín G. Martinelli. 2018. Osteohistology of Late Triassic prozostrodontian cynodonts from Brazil. PeerJ 5029. 1–26. Accessed 2019-03-25.
- Martinelli, Agustín G.; Marina Bento Soares; Téo Veiga De Oliveira; Pablo G. Rodrigues, and Cesar L. Schultz. 2017. The Triassic eucynodont Candelariodon barberenai revisited and the early diversity of stem prozostrodontians. Acta Palaeontologica Polonica 62. 527–542. Accessed 2019-03-25.
- Milani, E.J.; J.H.G. Melo; P.A. Souza; L.A. Fernandes, and A.B. França. 2007. Bacia do Paraná. Cartas Estratigráficas - Boletim de Geociências da Petrobras, Rio de Janeiro 15. 265–287. .
- Müller, Rodrigo T.; Flávio A. Pretto; Micheli Stefanello; Eduardo Silva Neves, and S. Dias da Silva. 2017. On a dinosaur axis from one of the oldest dinosaur-bearing sites worldwide. Acta Palaeontologica Polonica 62. 543–548. Accessed 2019-03-26.
- Pacheco, C.P.; A.G. Martinelli; A.E.B. Pavanatto; M.B. Soares, and S. Dias da Silva. 2018. Prozostrodon brasiliensis, a probainognathian cynodont from the Late Triassic of Brazil: second record and improvements on its dental anatomy. Historical Biology 30. 475–485. Accessed 2019-03-26.
- Pretto, Flávio A.; Cesar L. Schultz, and Max C. Langer. 2015. New dinosaur remains from the Late Triassic of southern Brazil (Candelária Sequence, Hyperodapedon Assemblage Zone). Alcheringa 39. 1–10. Accessed 2019-03-26.
- Romo de Vivar, Paulo R.; Agustín G. Martinelli; Annie Schmaltz Hsiou, and Marina Bento Soares. 2020. A new rhynchocephalian from the Late Triassic of southern Brazil enhances eusphenodontian diversity. Journal of Systematic Palaeontology 18(13). 1103–1126. . doi:10.1080/14772019.2020.1732488
- Da Rosa, Átila Augusto Stock, and Ubiratan Ferrucio Faccini. 2005. Delimitação de blocos estruturais de diferentes escalas em seqüências mezosóicas do Estado do Rio Grande do Sul: implicações bioestratigraficas. Gaea 1. 16–25. Accessed 2019-03-25.
- Soares, Marina B.; Agustín G. Martinelli, and Téo V. De Oliveira. 2014. A new prozostrodontian cynodont (Therapsida) from the Late Triassic Riograndia Assemblage Zone (Santa Maria Supersequence) of Southern Brazil. Anais da Academia Brasileira de Ciências 86. 1673–1691. Accessed 2019-03-26.
Further reading
- Pavanatto, A.E.B.; F.A. Pretto; L. Kerber; R.T.A.S. Müller Da Rosa, and S. Dias da Silva. 2018. A new Upper Triassic cynodont-bearing fossiliferous site from southern Brazil, with taphonomic remarks and description of a new traversodontid taxon. Journal of South American Earth Sciences 88. 179–196. Accessed 2019-03-26.








