Clear cell papillary renal cell carcinoma
Clear cell papillary renal cell carcinoma (CCPRCC) is a rare subtype of renal cell carcinoma (RCC) that has microscopic morphologic features of papillary renal cell carcinoma and clear cell renal cell carcinoma, yet is pathologically distinct based on molecular changes and immunohistochemistry.[1]
| Clear cell papillary renal cell carcinoma | |
|---|---|
| Other names | Clear cell tubulopapillary renal cell carcinoma |
![]() | |
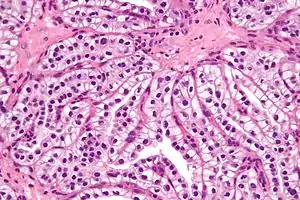
| Micrograph of a clear cell papillary renal cell carcinoma showing the characteristic apically located nuclei. H&E stain. | |
| Specialty | Oncology. nephrology |
Pathology
CCPRCC classically has apical nuclei, i.e. the nucleus is adjacent to the luminal aspect.[2] In most glandular structures the nuclei are usually basally located, i.e. in the cytoplasm adjacent to the basement membrane.
They typically stain with CK7 and do not stain with TFE3 and AMACR.[1]
See also
References
- Rohan, SM.; Xiao, Y.; Liang, Y.; Dudas, ME.; Al-Ahmadie, HA.; Fine, SW.; Gopalan, A.; Reuter, VE.; Rosenblum, MK.; et al. (September 2011). "Clear-cell papillary renal cell carcinoma: molecular and immunohistochemical analysis with emphasis on the von Hippel-Lindau gene and hypoxia-inducible factor pathway-related proteins". Mod Pathol. 24 (9): 1207–20. doi:10.1038/modpathol.2011.80. PMID 21602815.
- Bing, Z.; Tomaszewski, JE. (2011). "Case Report: Clear Cell Papillary Renal Cell Carcinoma in the Bilateral Native Kidneys after 2 Years of Renal Transplantation: Report of a Case and Review of the Literature". Case Reports in Transplantation. 2011: 1. doi:10.1155/2011/387645. PMC 3504274. PMID 23198258.
This article is issued from Wikipedia. The text is licensed under Creative Commons - Attribution - Sharealike. Additional terms may apply for the media files.
