Cystitis cystica
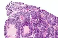
Cystitis cystica is a relatively common chronic reactive inflammatory disorder thought to be caused by chronic irritation of the urothelium because of infection, calculi, outlet obstruction, or tumor resulting in multiple small filling defects in the bladder wall.[1]

Histopathology of cystitis cystica.
References
- Originally copied from: Potts, Stephanie; Calleary, John (2017). "Cystitis Cystica as a Large Solitary Bladder Cyst". Journal of Endourology Case Reports. 3 (1): 34–38. doi:10.1089/cren.2017.0010. ISSN 2379-9889.
- "This Open Access article is distributed under the terms of the Creative Commons License (http://creativecommons.org/licenses/by/4.0)"
This article is issued from Wikipedia. The text is licensed under Creative Commons - Attribution - Sharealike. Additional terms may apply for the media files.