Endometrial stromal sarcoma
Endometrial stromal sarcoma is a malignant subtype of endometrial stromal tumor arising from the stroma (connective tissue) of the endometrium rather than the glands. There are three grades for endometrial stromal tumors, as follows.[1] It was previously known as endolymphatic stromal myosis because of diffuse infiltration of myometrial tissue or the invasion of lymphatic channels.[2]
| Endometrial stromal sarcoma | |
|---|---|
![]() | |
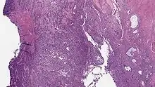
| Micrograph of a low-grade endometrial stromal sarcoma. H&E stain. | |
| Specialty | Oncology, gynecology |
Low-grade endometrial stromal sarcoma
Low-grade endometrial stromal sarcoma consists of cells resembling normal proliferative phase endometrium, but with infiltration or vascular invasion. These behave less[3] aggressively, sometimes metastasizing, with cancer stage the best predictor of survival. The cells express estrogen/progesterone-receptors.
Undifferentiated uterine sarcoma

Undifferentiated uterine sarcoma, or undifferentiated (high-grade) endometrial stromal sarcoma, does not resemble normal endometrial stroma and behaves much more aggressively, frequently metastasizing. The differential includes leukemia, lymphoma, high-grade carcinoma, carcinosarcoma, and differentiated pure sarcomas.
Pathology
Macroscopy
- Polypoid mass extending into broad ligament, ovaries and fallopian tubes.
- Lymphatic tumor plugs as yellow, ropy or ball-like masses.
Microscopy
- Monotonous ovoid cells to spindly cells with minimal cytoplasm.
- Prominent arterioles. Angiolymphatic invasion common.
- Up to 10-15 mitotic figures per 10 HPF in most active areas.
- Tongue-like infiltration between muscle bundles of myometrium.
- May exhibit myxoid, epithelioid and fibrous change.
- May have foam cells or hyalinization in the stroma.
Immunochemistry
- CD10+
- muscle markers (muscle specific actin MSA, smooth muscle actin SMA and desmin) positive in areas of smooth muscle differentiation
- CD117- (c-kit -)
- h-caldesmon-
Genetic features
A recurrent chromosomal translocation, t(7;17)(p15;q21), occurs in endometrial stromal sarcoma. This translocation leads to the fusion of two polycomb group genes, JAZF1 and JJAZ1, with production of a fusion transcript with anti-apoptotic properties. Even normal endometrial stroma cells express the fusion gene, derived not by translocation, but by the "stitching" together of m-RNAs. Thus, it appears that a pro-survival gene in the normal endometrium is somehow subverted to become pro-neoplastic.[4]
References
- Sternberg's Diagnostic Surgical Pathology, 5th edition, p. 2242-2245.
- Kumar V, Abbas A, Fausto N, Aster J (2010). Robbins and Cotran Pathologic Basis of Disease. 8th edition. Philadelphia: Elsevier Saunders
- "What is Uterine Sarcoma?".
- Li H, et al. (2009). "Gene fusion and RNA trans-splicing in normal and neoplastic cells". Cell Cycle. 8 (2): 218–222. doi:10.4161/cc.8.2.7358. PMID 19158498.
