Enthesophyte
Enthesophytes are abnormal bony projections at the attachment of a tendon or ligament.[1] They are not to be confused with osteophytes, which are abnormal bony projections in joint spaces. Enthesophytes and osteophytes are bone responses for stress.[1]

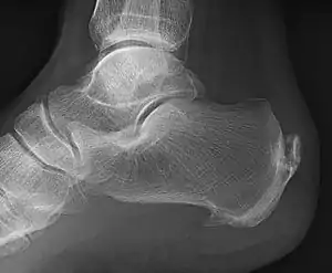
An enthesophyte, consisting of calcification deposits within the Achilles tendon at its calcaneal insertion. The Achilles tendon is wider than normal, further suggesting inflammation.
References
- Rogers, J.; Shepstone, L.; Dieppe, P. (1997). "Bone formers: osteophyte and enthesophyte formation are positively associated". Extended Reports. Annals of the Rheumatic Diseases. 56 (2): 85–90. doi:10.1136/ard.56.2.85. PMC 1752321. PMID 9068279.
This article is issued from Wikipedia. The text is licensed under Creative Commons - Attribution - Sharealike. Additional terms may apply for the media files.