Focal fatty liver
Focal fatty liver (FFL) is localised or patchy process of lipid accumulation in the liver.[1] It is likely to have different pathogenesis than non-alcoholic steatohepatitis which is a diffuse process. FFL may result from altered venous flow to liver, tissue hypoxia and malabsorption of lipoproteins. The condition has been increasingly recognised as sensitivity of abdominal imaging studies continues to improve. A fine needle biopsy is often performed to differentiate it from malignancy.
| Focal fatty liver | |
|---|---|
![]() | |
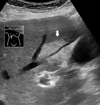
| This focal fatty change seen on abdominal ultrasonography is distinguished from a tumor by not compressing the hepatic vein going through it |
References
- Halvorsen, R. A.; Korobkin, M.; Ram, P. C.; Thompson, W. M. (August 1982). "CT appearance of focal fatty infiltration of the liver". AJR. American Journal of Roentgenology. 139 (2): 277–281. doi:10.2214/ajr.139.2.277. ISSN 0361-803X. PMID 6979879. Retrieved 13 March 2022.
This article is issued from Wikipedia. The text is licensed under Creative Commons - Attribution - Sharealike. Additional terms may apply for the media files.
