Honeycombing

Honeycombing or "honeycomb lung" is the radiological appearance seen with widespread fibrosis[1] and is defined by the presence of small cystic spaces with irregularly thickened walls composed of fibrous tissue. Dilated and thickened terminal and respiratory bronchioles produce cystic airspaces, giving honeycomb appearance on chest x-ray. Honeycomb cysts often predominate in the peripheral and pleural/subpleural lung regions regardless of their cause.

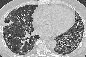
CT scan in a patient with usual interstitial pneumonia, showing interstitial thickening, architectural distortion, honeycombing and bronchiectasis.

Subpleural honeycomb cysts typically occur in several contiguous layers. This finding can allow honeycombing to be distinguished from paraseptal emphysema in which subpleural cysts usually occur in a single layer.

References

  1. "Honeycomb Lung Pathology: Definition, Epidemiology, Etiology". 2017-09-21. {{cite journal}}: Cite journal requires |journal= (help)
This article is issued from Wikipedia. The text is licensed under Creative Commons - Attribution - Sharealike. Additional terms may apply for the media files.