Intestinal spirochetosis
Human intestinal spirochetosis, often called just intestinal spirochetosis when the human context is implicit, is an infection of the colonic-type mucosa with certain species of spirochetal bacteria. Similar infections sometimes occur in pigs, dogs, and birds; porcine intestinal spirochaetosis is an economically important disease of livestock.
| Intestinal spirochetosis | |
|---|---|
| Other names | Intestinal spirochetes, colonic spirochetosis, colonic spirochetes, brachyspirosis |
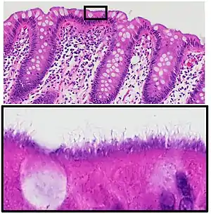
![]() | |
| Histopathology of intestinal spirochetosis, showing basophilic, fringe-like, end-on-end attachment of filamentous densely packed spirochetes on the surface epithelium of the intestinal mucosa.[1] H&E stain. | |
| Specialty | Infectious disease |
Signs and symptoms
No clear association exists with complaints. However, potential associations include abdominal pain and watery diarrhea, which may be seen with blood; however, these findings are not specific and may be due to a number of other causes.[2]
Cause
Human intestinal spirochetosis is caused by Brachyspira pilosicoli and Brachyspira aalborgi.[3] Porcine and avian intestinal spirochetosis are caused by Brachyspira hyodysenteriae and Brachyspira pilosicoli.
Diagnosis

Management
Symptomatic individuals can be treated with oral metronidazole.
See also
References
- Image by Mikael Häggström, MD. Reference for description: Elliot Weisenberg, M.D. "Intestinal spirochetosis". Pathology Outlines. Last author update: 1 May 2017. Last staff update: 3 May 2022
- URL: http://www.jhasim.com/files/articlefiles/pdf/XASIM_Master_6_5_May_Vignette.pdf Archived 2016-03-03 at the Wayback Machine. Accessed on: 25 April 2011.
- Amat Villegas I, Borobio Aguilar E, Beloqui Perez R, de Llano Varela P, Oquiñena Legaz S, Martínez-Peñuela Virseda JM (January 2004). "[Colonic spirochetes: an infrequent cause of adult diarrhea]". Gastroenterol Hepatol (in Spanish). 27 (1): 21–3. doi:10.1016/s0210-5705(03)70440-3. PMID 14718105.
