Inverted papilloma
An inverted papilloma, also known as Ringertz tumour,[1] is a type of tumor in which surface epithelial cells grow downward into the underlying supportive tissue. It may occur in the nose and/or sinuses or in the urinary tract (bladder, renal pelvis, ureter, urethra). When it occurs in the nose or sinuses, it may cause symptoms similar to those caused by sinusitis, such as nasal congestion. When it occurs in the urinary tract, it may cause blood in the urine.
| Inverted papilloma | |
|---|---|
| Other names | Ringertz tumour |
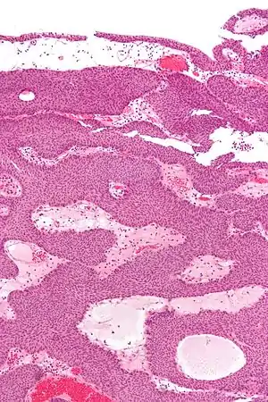
![]() | |
| Micrograph of an inverted papilloma of the urinary bladder. H&E stain. | |
| Specialty | Oncology |
Diagnosis
Inverted papillomas are definitively diagnosed by histologic examination. However, magnetic resonance imaging (MRI) may show a characteristic feature described as a convoluted cerebriform pattern (CCP). A retrospective study published in the American Journal of Neuroradiology concluded that identification of CCP by MRI in a patient with a nasal tumor made the diagnosis of Inverted papilloma quite likely. The study reported the sensitivity and specificity to be 100% and 87% respectively. CCP can be associated with other malignant tumors as well.[2]
Treatment
The treatment of choice in sinus and nose is by Functional endoscopic sinus surgery.[3]
Recurrence and malignification
Inverted papillomas of the sinus and nose have a high risk of recurrence after surgical treatment. The recurrence often occurs within 2 years after the surgery and at the initial anatomical site .[4] Inverted papillomas have a potential for malignant transformation in 5-15%.[5]
History
Inverted papillomae were first described by Nils Ringertz in 1938.[6] He reported their microscopic appearance and their tendency to grow into the connective tissue stroma.
Additional image
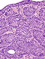
Histopathology representing an inverted papilloma of the urinary bladder that was cystoscopically resected. Hematoxylin and eosion stain.
Histopathology representing an inverted papilloma of the urinary bladder that was cystoscopically resected. Hematoxylin and eosion stain.
Histopathology representing an inverted papilloma of the urinary bladder that was cystoscopically resected. Hematoxylin and eosion stain.
Inverted Schneiderian Papilloma of the Nasal Cavity.
Inverted Schneiderian Papilloma of the Nasal Cavity with Abundant intraepithelial microabscesses.
References
- Hasan, S. A.; Aziz, M.; Faruqi, N. A. (September 9, 1985). "Inverted papilloma of the nose (Ringertz tumour)". Journal of the Indian Medical Association. 83 (9): 316–318. PMID 4086856 – via PubMed.
- Jeon TY, Kim HJ, Chung SK, Dhong HJ, Kim HY, Yim YJ, Kim ST, Jeon P, Kim KH (May 22, 2008). "Sinonasal Inverted Papilloma: Value of Convoluted Cerebriform Pattern on MR Imaging". American Journal of Neuroradiology. 29 (8): 1556–1560. doi:10.3174/ajnr.A1128. PMC 8119066. PMID 18499786.
- Carta, Filippo; Verillaud, Benjamin; Herman, Philippe (February 2011). "Role of endoscopic approach in the management of inverted papilloma". Current Opinion in Otolaryngology & Head & Neck Surgery. 19 (1): 21–24. doi:10.1097/MOO.0b013e3283425213. ISSN 1068-9508. PMID 21191294. S2CID 25787142.
- Woodworth, Bradford A.; Bhargave, Geeta A.; Palmer, James N.; Chiu, Alexander G.; Cohen, Noam A.; Lanza, Donald C.; Bolger, William E.; Kennedy, David W. (September 2007). "Clinical Outcomes of Endoscopic and Endoscopic-Assisted Resection of Inverted Papillomas: A 15-Year Experience". American Journal of Rhinology. 21 (5): 591–600. doi:10.2500/ajr.2007.21.3086. ISSN 1050-6586. PMID 17999796. S2CID 23495202.
- Peng, Phyllis; Har-El, Gady (July 2006). "Management of inverted papillomas of the nose and paranasal sinuses". American Journal of Otolaryngology. 27 (4): 233–237. doi:10.1016/j.amjoto.2005.11.005. PMID 16798398.
- Ringertz, Nils (January 9, 1938). Pathology of malignant tumors arising in the nasal and paranasal cavities and maxilla. Mercator. OCLC 257486867.
External links
- Inverted papilloma entry in the public domain NCI Dictionary of Cancer Terms
This article incorporates public domain material from Dictionary of Cancer Terms. U.S. National Cancer Institute.
