Secondary systemic amyloidosis
Secondary systemic amyloidosis is a condition that involves the adrenal gland, liver, spleen, and kidney as a result of amyloid deposition due to a chronic disease such as Behçet's disease, ulcerative colitis, etc.[1]: 520 [2] The condition is caused by an abnormality in plasma cells.
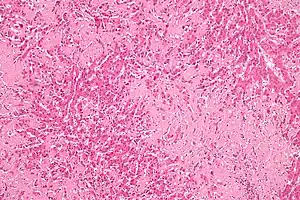
| Secondary systemic amyloidosis | |
|---|---|
![]() | |
| Micrograph of liver amyloidosis, H&E stain |
References
This article is issued from Wikipedia. The text is licensed under Creative Commons - Attribution - Sharealike. Additional terms may apply for the media files.
