Small-cell melanoma
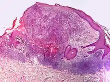
Small-cell melanoma, also known as melanoma with small nevus-like cells, is a cutaneous condition, a tumor that contains variably-sized, large nests of small melanocytes with hyperchromatic nuclei and prominent nucleoli.[1]

Small-cell melanoma
References
- Rapini, Ronald P.; Bolognia, Jean L.; Jorizzo, Joseph L. (2007). Dermatology: 2-Volume Set. St. Louis: Mosby. p. 1752. ISBN 1-4160-2999-0.
This article is issued from Wikipedia. The text is licensed under Creative Commons - Attribution - Sharealike. Additional terms may apply for the media files.