Degloving
A degloving injury is a type of avulsion in which an extensive section of skin is completely torn off the underlying tissue, severing its blood supply.[2] It is named by analogy to the process of removing a glove.
| Degloving | |
|---|---|
![]() | |
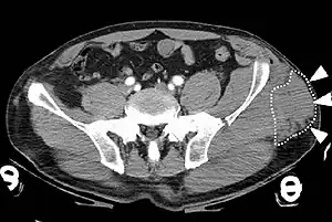
| A Morel-Lavallée lesion is a closed traumatic soft-tissue degloving injury, caused by separation of the hypodermis from the underlying fascia.[1] It most frequently occurs in the peritrochanteric region along the proximal lateral thigh,[1] such as in this CT scan. |
The causes of degloving can vary,[3] but they often occur when someone's hand or arm gets stuck in a machine or when they are involved in a car crash. Treatment for degloving injuries can vary depending on the severity of the injury, but often includes surgery and skin grafts.[2]
All sorts of events can lead to this type of injury. Car crashes, falls, or getting caught in machinery are all common causes. However, there are also less obvious things that can cause degloving injuries, like contact with chemicals or extreme weather conditions.[3]
Effects
Typically, degloving injuries affect the extremities and limbs; in these cases, they are frequently associated with underlying fractures.[4] Any injury which would induce degloving of the head or torso is likely to be lethal. However, controlled facial degloving is often featured in plastic surgery.
Degloving injuries invariably require major surgical interventions. Treatment options include replantation or revascularization of the degloved skins, or when these are not possible, skin grafts or skin flaps. While the preservation of the extremities and limbs is normally preferred, in some cases amputations may be advised or required. Post-operative physiotherapy is of particular importance for degloving injuries involving the hand.[5]
Other animals
Many small mammals are able to induce degloving of their tails to escape capture;[6] this is comparable to tail autotomy in reptiles.
References
- Scolaro, John A.; Chao, Tom; Zamorano, David P. (October 2016). "The Morel-Lavallée Lesion: Diagnosis and Management". Journal of the American Academy of Orthopaedic Surgeons. 24 (10): 667–672. doi:10.5435/JAAOS-D-15-00181. ISSN 1067-151X. PMID 27579812.
- Nesa, Johurun (14 November 2022). "What Is a degloving Injury? A to Z full details". Degloving. Retrieved 17 December 2022.
- Nesa, Johurun (13 November 2022). "Degloving: meaning, causes, treatment and more 2023". Degloving. Retrieved 11 December 2022.
- Lekuya, Hervé Monka; Alenyo, Rose; Kajja, Isaac; Bangirana, Alexander; Mbiine, Ronald; Deng, Ater Ngoth; Galukande, Moses (2018). "Degloving injuries with versus without underlying fracture in a sub-Saharan African tertiary hospital: a prospective observational study". Journal of Orthopaedic Surgery and Research. 13 (1): 2. doi:10.1186/s13018-017-0706-9. PMC 5756448. PMID 29304820.
- Krishnamoorthy, R.; Karthikeyan, G. (May–August 2011). "Degloving injuries of the hand". Indian Journal of Plastic Surgery. 44 (2): 227–236. doi:10.4103/0970-0358.85344. PMC 3193635. PMID 22022033.
- Grant, Karen (30 June 2003). "Guide to treatment of degloving injuries in pet rats". Rat Guide. Retrieved 2 March 2018.
