Faggot cell

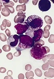
Faggot cells are cells normally found in the hypergranular form of acute promyelocytic leukemia (FAB - M3). These promyelocytes (not blast cells) have numerous Auer rods in the cytoplasm which gives the appearance of a bundle of sticks, from which the cells are given their name.[1][2]

A faggot cell (bottom left of the central cell cluster) with a prominent collection of Auer rods from a patient with acute promyelocytic leukemia.

See also

References

  1. Lichtman, Marshall A., Shafer, Jean A., Felgar, Raymond E., and Wang, Nancy. Lichtman's Atlas of Hematology.
  2. Kenneth D. McClatchey (2002). Clinical laboratory medicine. Lippincott Williams & Wilkins. pp. 909–. ISBN 978-0-683-30751-1. Retrieved 6 December 2011.
This article is issued from Wikipedia. The text is licensed under Creative Commons - Attribution - Sharealike. Additional terms may apply for the media files.