Myxoid liposarcoma
A myxoid liposarcoma is a malignant adipose tissue neoplasm[1] of myxoid appearance histologically.
| Myxoid liposarcoma | |
|---|---|
![]() | |
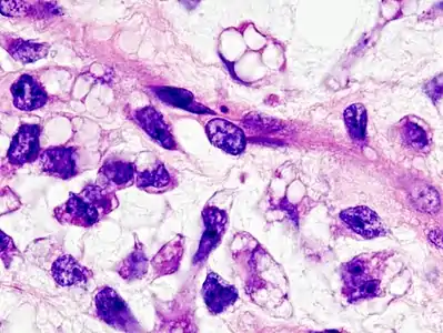
| Histopathologic image of myxoid liposarcoma arising in the thigh. H & E stain. | |
| Specialty | Oncology |
Myxoid liposarcomas are the second-most common type of liposarcoma, representing 30–40% of all liposarcomas in the limbs, occurring most commonly in the legs, particularly the thigh, followed by the buttocks, retroperitoneum, trunk, ankle, proximal limb girdle, head and neck, and wrist. They occur in the intermuscular fascial planes or deep-seated areas. They present as a large, slow-growing, painless mass.[2]
The neoplastic cells in these neoplasms contain chromosomal translocations which create one of two fusion genes: the FUS-DDIT3 in ~90% and the EWSR1-DDIT3 fusion gene in up to 10% of myxoid liposarcoma cases.[3] The FUS-DDIT3 fusion gene forms by a merger of part of the FUS FET gene family gene normally located at band 11.2 on the short (or "p") arm of chromosome 16 with part of the DDIT3 ETS transcription factor family gene normally located at band 13.3 on the long (or "q") arm of chromosome 12. This fusion gene is notated as t(12;16)(q13;p11).[4][5] Preclinical studies, i.e. laboratory studies, suggest that the FUS-DDIT3 fusion gene may act as an oncogene to promote the development of myxoid liposarmas.[6] The EWSR1-DDIT3 fusion gene forms by a merger of the EWSR1 FET gene family gene located at band 12.2 on the q arm of chromosome 22 with part of the DDIT3 gene. This fusion gene is notated as t(12;22)(q13;12).[7][8][9]
Additional images
Micrograph of myxoid liposarcoma. H&E stain
MRI of myxoid liposarcoma of high grade, in left axillary region of 40 year old man. Horizontal section.
See also
References
- "Orphanet: Myxoid/round cell liposarcoma". Orpha.net. Retrieved October 27, 2019.
- Sung; et al. (2000). "Myxoid Liposarcoma: Appearance at MR Imaging with Histologic Correlation". RadioGraphics. 20 (4): 1007–1019. doi:10.1148/radiographics.20.4.g00jl021007. PMID 10903690.
- Flucke U, van Noesel MM, Siozopoulou V, Creytens D, Tops BB, van Gorp JM, Hiemcke-Jiwa LS (June 2021). "EWSR1-The Most Common Rearranged Gene in Soft Tissue Lesions, Which Also Occurs in Different Bone Lesions: An Updated Review". Diagnostics (Basel, Switzerland). 11 (6): 1093. doi:10.3390/diagnostics11061093. PMC 8232650. PMID 34203801.
- Aman P, Ron D, Mandahl N, et al. (1993). "Rearrangement of the transcription factor gene CHOP in myxoid liposarcomas with t(12;16)(q13;p11)". Genes Chromosomes Cancer. 5 (4): 278–85. doi:10.1002/gcc.2870050403. PMID 1283316. S2CID 1998665.
- Göransson M, Andersson MK, Forni C, et al. (January 2009). "The myxoid liposarcoma FUS-DDIT3 fusion oncoprotein deregulates NF-kappaB target genes by interaction with NFKBIZ". Oncogene. 28 (2): 270–8. doi:10.1038/onc.2008.378. PMID 18850010.
- Owen I, Yee D, Wyne H, Perdikari TM, Johnson V, Smyth J, Kortum R, Fawzi NL, Shewmaker F (September 2021). "The oncogenic transcription factor FUS-CHOP can undergo nuclear liquid-liquid phase separation". Journal of Cell Science. 134 (17). doi:10.1242/jcs.258578. PMC 8445604. PMID 34357401.
- Rabbitts TH, Forster A, Larson R, Nathan P (1993). "Fusion of the dominant negative transcription regulator CHOP with a novel gene FUS by translocation t(12;16) in malignant liposarcoma". Nat. Genet. 4 (2): 175–80. doi:10.1038/ng0693-175. PMID 7503811. S2CID 5964293.
- Crozat A, Aman P, Mandahl N, Ron D (1993). "Fusion of CHOP to a novel RNA-binding protein in human myxoid liposarcoma". Nature. 363 (6430): 640–4. Bibcode:1993Natur.363..640C. doi:10.1038/363640a0. PMID 8510758. S2CID 4358184.
- Forni C, Minuzzo M, Virdis E, et al. (February 2009). "Trabectedin (ET-743) promotes differentiation in myxoid liposarcoma tumors". Mol. Cancer Ther. 8 (2): 449–57. doi:10.1158/1535-7163.MCT-08-0848. PMID 19190116.
External links
- Myxoid liposarcoma: a rare soft-tissue tumor with a misleading benign appearance
- Efficacy of first-line doxorubicin and ifosfamide in myxoid liposarcoma. 2012
