Rib fracture
A rib fracture is a break in a rib bone.[1] This typically results in chest pain that is worse with inspiration.[1] Bruising may occur at the site of the break.[3] When several ribs are broken in several places a flail chest results.[4] Potential complications include a pneumothorax, pulmonary contusion, and pneumonia.[2][1]
| Rib fracture | |
|---|---|
| Other names | Broken rib, cracked rib |
![]() | |
| An X ray showing multiple old fractured ribs of the person's left side as marked by the oval. | |
| Specialty | Emergency medicine |
| Symptoms | Chest pain that is worse with breathing in[1] |
| Complications | Pulmonary contusion, pneumothorax, pneumonia[1][2] |
| Causes | Chest trauma[2] |
| Diagnostic method | Based on symptoms, medical imaging[3] |
| Medication | Paracetamol (acetaminophen), NSAIDs, opioids[2] |
| Prognosis | Pain improves over 6 weeks[3] |
| Frequency | Common[2] |
Rib fractures usually occur from a direct blow to the chest such as during a motor vehicle collision or from a crush injury.[2][1] Coughing or metastatic cancer may also result in a broken rib.[1] The middle ribs are most commonly fractured.[5][1] Fractures of the first or second ribs are more likely to be associated with complications.[6] Diagnosis can be made based on symptoms and supported by medical imaging.[3]
Pain control is an important part of treatment.[7] This may include the use of paracetamol (acetaminophen), NSAIDs, or opioids.[2] A nerve block may be another option.[1] While fractured ribs can be wrapped, this may increase complications.[1] In those with a flail chest, surgery may improve outcomes.[8][9] They are a common injury following trauma.[10]
Signs and symptoms
This typically results in chest pain that is worse with inspiration.[1] Bruising may occur at the site of the break.[3]
Complications
When several ribs are broken in several places a flail chest results.[4] Potential complications include a pneumothorax, pulmonary contusion, and pneumonia.[2][1]
Causes
Rib fractures can occur with or without direct trauma during recreational activity. Cardiopulmonary resuscitation (CPR) has also been known to cause thoracic injury, including but not limited to rib and sternum fractures. They can also occur as a consequence of diseases such as cancer or rheumatoid arthritis. While for elderly individuals a fall can cause a rib fracture, in adults automobile accidents are a common event for such an injury.[11]
Diagnosis
Signs of a broken rib may include:[12]
- Pain on inhalation
- Swelling in chest area
- Bruise in chest area
- Increasing shortness of breath
- Coughing up blood (rib may have damaged lung)
Plain X-rays often pick up displaced fractures but often miss undisplaced fractures.[13] CT scanning is generally able to pick up both types of fractures.[13]
Because children have more flexible chest walls than adults do, their ribs are more likely to bend than to break; therefore the presence of rib fractures in children is evidence of a significant amount of force and may indicate severe thoracic injuries such as pulmonary contusion.[4] Rib fractures are also a sign of more serious injury in elderly people.[14]
Illustration showing rib fracture at 3rd, 4th and 5th rib.
Right sided pneumothorax and rib fractures
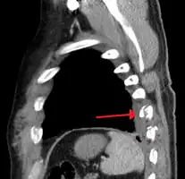
Two broken ribs as seen on parasagittal CT
Treatment
There is no specific treatment for rib fractures, but various supportive measures can be taken. In simple rib fractures, pain can lead to reduced movement and cough suppression; this can contribute to formation of secondary chest infection.[15] Flail chest is a potentially life-threatening injury and will often require a period of assisted ventilation.[16] Flail chest and first rib fractures are high-energy injuries and should prompt investigation of damage to underlying viscera (e.g., lung contusion) or remotely (e.g., cervical spine injury). Spontaneous fractures in athletes generally require a cessation of the cause, e.g., time off rowing, while maintaining cardiovascular fitness.
Nerve blocks
Nerve blocks may be used to help with pain and reduce respiratory complications related to rib fractures.[17] These include rhomboid intercostal block,[18] epidural anesthesia, paravertebral block, erector spinae plane block and serratus anterior plane block.[19][20][21] There is very little evidence to support the use of one nerve block over another on the basis of analgesia or safety.[22][23]
Surgery
Treatment options for internal fixation/repair of rib fractures include:
- Judet and/or sanchez plates/struts are a metal plate with strips that bend around the rib and then is further secured with sutures.[24]
- There are different specialist rib fixation systems on the market. They have two options: a precontoured metal plate that uses screws to secure the plate to the rib; and/or an intramedullary splint which is tunneled into the rib and secured with a set screw.[25]
- Anterior locking plates are metal plates that have holes for screws throughout the plate. The plate is positioned over the rib and screwed into the bone at the desired position. The plates may be bent to match the contour of the section.[26]
- U-plates can also be used as they clamp on to the superior aspect of the ribs using locking screws.[27]
See also
References
- Mosby's Medical Dictionary (E-Book). Elsevier Health Sciences. 2013. p. 1567. ISBN 978-0323112581. Archived from the original on 2017-10-13.
- May, L; Hillermann, C; Patil, S (January 2016). "Rib fracture management". BJA Education. 16 (1): 26–32. doi:10.1093/bjaceaccp/mkv011.
- Adams, James G. (2012). Emergency Medicine E-Book: Clinical Essentials (Expert Consult – Online). Elsevier Health Sciences. p. 682. ISBN 978-1455733941. Archived from the original on 2017-10-13.
- Wanek, Sandra; Mayberry, John C (2004). "Blunt thoracic trauma: flail chest, pulmonary contusion, and blast injury". Critical Care Clinics. 20 (1): 71–81. doi:10.1016/S0749-0704(03)00098-8. PMID 14979330.
- Nanni, Christina (2012). PET-CT: Rare Findings and Diseases. Springer. p. 257. ISBN 978-3-642-24698-2.
- Murphy CE, 4th; Raja, AS; Baumann, BM; Medak, AJ; Langdorf, MI; Nishijima, DK; Hendey, GW; Mower, WR; Rodriguez, RM (27 May 2017). "Rib Fracture Diagnosis in the Panscan Era" (PDF). Annals of Emergency Medicine. 70 (6): 904–909. doi:10.1016/j.annemergmed.2017.04.011. PMID 28559032. S2CID 23442272.
- Brown, SD; Walters, MR (2012). "Patients with rib fractures: use of incentive spirometry volumes to guide care". Journal of Trauma Nursing. 19 (2): 89–91, quiz 92–03. doi:10.1097/JTN.0b013e31825629ee. PMID 22673074. S2CID 45547470.
- Schuurmans, J; Goslings, JC; Schepers, T (April 2017). "Operative management versus non-operative management of rib fractures in flail chest injuries: a systematic review". European Journal of Trauma and Emergency Surgery. 43 (2): 163–68. doi:10.1007/s00068-016-0721-2. PMC 5378742. PMID 27572897.
- Coughlin, TA; Ng, JW; Rollins, KE; Forward, DP; Ollivere, BJ (August 2016). "Management of rib fractures in traumatic flail chest: a meta-analysis of randomised controlled trials". The Bone & Joint Journal. 98-B (8): 1119–25. doi:10.1302/0301-620X.98B8.37282. PMID 27482027.
- Senekjian, L; Nirula, R (January 2017). "Rib Fracture Fixation: Indications and Outcomes". Critical Care Clinics. 33 (1): 153–65. doi:10.1016/j.ccc.2016.08.009. PMID 27894495.
- Rib Fracture at eMedicine
- "Broken or bruised ribs". NHS.UK. 2015. Archived from the original on 20 August 2015. Retrieved 15 August 2015.
- Dennis, BM; Bellister, SA; Guillamondegui, OD (October 2017). "Thoracic Trauma". The Surgical Clinics of North America. 97 (5): 1047–1064. doi:10.1016/j.suc.2017.06.009. PMID 28958357.
- Kent, Richard; Woods, William; Bostrom, Ola (2008-01-01). "Fatality Risk and the Presence of Rib Fractures". Annals of Advances in Automotive Medicine / Annual Scientific Conference. 52: 73–84. ISSN 1943-2461. PMC 3256783. PMID 19026224.
- Morice, A H; McGarvey, L; Pavord, I (2006). "Recommendations for the management of cough in adults". Thorax. 61 (Suppl 1): i1–24. doi:10.1136/thx.2006.065144. PMC 2080754. PMID 16936230.
- Paul, Pauline; Williams, Beverly (2009-01-01). Brunner & Suddarth's Textbook of Canadian Medical-surgical Nursing. Lippincott Williams & Wil. p. 637. ISBN 9780781799898. Archived from the original on 2016-06-29.
- Mladenovic, Jordanna; Erskine, Ryan N.; Riley, Brooke; Mitchell, Andrew; Abi-fares, Catherine; Basson, Willem; Anstey, Chris; White, Leigh (2022-11-01). "The association between erector spinae plane block timing and reduced rib fracture related respiratory complications: A cohort study". Journal of Clinical Anesthesia. 82: 110940. doi:10.1016/j.jclinane.2022.110940. ISSN 0952-8180. PMID 35917775. S2CID 251206240.
- Ökmen, K (1 April 2019). "Efficacy of rhomboid intercostal block for analgesia after thoracotomy". The Korean Journal of Pain. 32 (2): 129–132. doi:10.3344/kjp.2019.32.2.129. PMC 6549589. PMID 31091512.
- Wardhan, R (October 2013). "Assessment and management of rib fracture pain in geriatric population: an ode to old age". Current Opinion in Anesthesiology. 26 (5): 626–31. doi:10.1097/01.aco.0000432516.93715.a7. PMID 23995061. S2CID 35082310.
- Grant, Stuart A.; Auyong, David B. (2016). Ultrasound Guided Regional Anesthesia. Oxford University Press. p. PT388. ISBN 9780190630478.
- Riley, B.; Malla, U.; Snels, N.; Mitchell, A.; Abi-Fares, C.; Basson, W.; Anstey, C.; White, L. (2020). "Erector spinae and serratus anterior blocks for the management of rib fractures: A retrospective exploratory matched study". The American Journal of Emergency Medicine. 38 (8): 1689–1691. doi:10.1016/j.ajem.2020.01.007. PMID 31932127. S2CID 210194417.
- White, L.; Riley, B.; Malla, U.; Snels, N.; Mitchell, A.; Abi-Fares, C.; Basson, W.; Anstey, C. (2020-08-15). "ESB vs SAB in chest wall trauma, which is better?: A response and decision making guide". The American Journal of Emergency Medicine. 38 (10): 2221–2223. doi:10.1016/j.ajem.2020.08.004. ISSN 0735-6757. PMID 32843243. S2CID 221328812.
- White, L. D.; Riley, B.; Davis, K.; Thang, C.; Mitchell, A.; Abi-fares, C.; Basson, W.; Anstey, C. (2021). "Safety of Continuous Erector Spinae Catheters in Chest Trauma: A Retrospective Cohort Study". Anesthesia & Analgesia. 133 (5): 1296–1302. doi:10.1213/ANE.0000000000005730. hdl:10072/407871. ISSN 0003-2999. PMID 34473654. S2CID 237400070.
- Fitzpatrick, D. C.; Denard, P. J.; Phelan, D.; Long, W. B.; Madey, S. M.; Bottlang, M. (2010). "Operative stabilization of flail chest injuries: review of literature and fixation options". European Journal of Trauma and Emergency Surgery. 36 (5): 427–33. doi:10.1007/s00068-010-0027-8. PMC 3150812. PMID 21841954.
- Mathison, Douglas (2014). Master Techniques in Surgery: Thoracic Surgery: Transplantation, Tracheal Resections, Mediastinal Tumors, Extended Thoracic Resections. Walters-Kluwer Health. ISBN 978-1-46988-903-0. Archived from the original on 12 May 2016. Retrieved 15 August 2015.Rib fracture at Google Books
- Browner, Bruce D. (2009-01-01). Skeletal Trauma: Basic Science, Management, and Reconstruction. Elsevier Health Scien. p. 1418. ISBN 978-1416022206. Archived from the original on 2016-05-08.
- de Jong, M. B.; Kokke, M. C.; Hietbrink, F.; Leenen, L. P. H. (2014). "Surgical Management of Rib Fractures: Strategies and Literature Review". Scandinavian Journal of Surgery. 103 (2): 120–25. doi:10.1177/1457496914531928. PMID 24782038. S2CID 11113635.
