Synovitis
Synovitis is the medical term for inflammation of the synovial membrane. This membrane lines joints that possess cavities, known as synovial joints. The condition is usually painful, particularly when the joint is moved. The joint usually swells due to synovial fluid collection.

Medical Photographic Library
| Synovitis | |
|---|---|
![]() | |
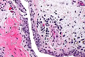
| Chronic synovitis | |
| Specialty | Rheumatology |
Synovitis may occur in association with arthritis as well as lupus, gout, and other conditions. Synovitis is more commonly found in rheumatoid arthritis than in other forms of arthritis, and can thus serve as a distinguishing factor, although it is also present in many joints affected with osteoarthritis.[1][2] In rheumatoid arthritis, the fibroblast-like synoviocytes, highly specialized mesenchymal cells found in the synovial membrane, play an active and prominent role in the synovitis.[3] Long term occurrence of synovitis can result in degeneration of the joint.
Signs and symptoms
Synovitis causes joint tenderness or pain, swelling and hard lumps, called nodules. When associated with rheumatoid arthritis, swelling is a better indicator than tenderness. The joints in your hands and fingers feel painful when pressed and when moving or gripping anything.
Diagnosis
A rheumatologist will aim to diagnose the cause of the patient’s pain by first determining whether it is inside the joint itself, meaning true synovitis, or if it is actually caused by an inflammation of the tendons, referred to as tendonitis. Imaging, such as an MRI or musculoskeletal ultrasound is often required to make a firm diagnosis.
Treatment
Synovitis symptoms can be treated with anti-inflammatory drugs such as NSAIDs. An injection of steroids may be done, directly into the affected joint. Injection of beta-emitting radioisotopes to locally treat synovitis has been performed in people for decades[4] and is now being applied using tin-117m in veterinary medicine to treat canine elbow synovitis. Specific treatment depends on the underlying cause of the synovitis.
References
- Sutton S, Clutterbuck A, Harris P, Gent T, Freeman S, Foster N, Barrett-Jolley R, Mobasheri A (2009). "The contribution of the synovium, synovial derived inflammatory cytokines and neuropeptides to the pathogenesis of osteoarthritis". The Veterinary Journal. 179 (1): 10–24. doi:10.1016/j.tvjl.2007.08.013. PMID 17911037.
- Scanzello, C. R.; Goldring, S. R. (2012). "The role of synovitis in osteoarthritis pathogenesis". Bone. 51 (2): 249–57. doi:10.1016/j.bone.2012.02.012. PMC 3372675. PMID 22387238.
- Nygaard, Gyrid; Firestein, Gary S. (2020). "Restoring synovial homeostasis in rheumatoid arthritis by targeting fibroblast-like synoviocytes". Nature Reviews Rheumatology. 16 (6): 316–333. doi:10.1038/s41584-020-0413-5. PMC 7987137. PMID 32393826. S2CID 218573182.
- Kampen, W. U.; Boddenberg-Pätzold, B.; Fischer, M.; Gabriel, M.; Klett, R.; Konijnenberg, M.; Kresnik, E.; Lellouche, H.; Paycha, F.; Terslev, L.; Turkmen, C.; van der Zant, F.; Antunovic, L.; Panagiotidis, E.; Gnanasegaran, G. (January 2022). "The EANM guideline for radiosynoviorthesis". European Journal of Nuclear Medicine and Molecular Imaging. 49 (2): 681–708. doi:10.1007/s00259-021-05541-7. ISSN 1619-7089. PMC 8803784. PMID 34671820.
