Cutaneous horn
Cutaneous horns, also known by the Latin name cornu cutaneum, are unusual keratinous skin tumors with the appearance of horns, or sometimes of wood or coral. Formally, this is a clinical diagnosis for a "conical projection above the surface of the skin."[1] They are usually small and localized but can, in very rare cases, be much larger. Although often benign, they can also be malignant or premalignant.[2]
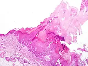
| Cutaneous horn | |
|---|---|
![]() | |
| Actinic keratosis, pre-cancerous area of thick, scaly, or crusty skin (Below) with cutaneous horn tissue (above) |
Signs and symptoms
The lesion at the base of the keratin mound is benign in the majority of cases. Malignancy is present in up to 20% of cases, with squamous-cell carcinoma being the most common type. The incidence of squamous-cell carcinoma increases to 37% when the cutaneous horn is present on the penis.[3] Tenderness at the base of the lesion often suggests the presence of a possible underlying squamous-cell carcinoma.

Cause
The cause of cutaneous horns is still unknown, but it is believed that exposure to radiation can trigger the condition. This is evidenced by a higher rate of cases occurring on the face and hands, areas that are often exposed to sunlight. Moreover, there is a higher prevalence in Asian countries with a warm climate. Other cases have reported cutaneous horns arising from burn scars.[4] As with many other wart-like skin conditions, a link to the HPV virus family, especially the HPV-2 subtype has been suggested.[5]
Diagnosis
Cutaneous horn usually arises due to an underlying epidermal lesion, the most common being verruca vulgaris (wart), actinic keratosis (a potentially pre-malignant lesion of dysplastic keratinocytes), or squamous cell carcinoma (a form of skin cancer). These can look essentially identical clinically. The only reliable way to diagnose which type of lesion is present under the horn is to biopsy the lesion and have it microscopically examined by a pathologist (or dermatologist).
Treatments
As the horn is composed of keratin, the same material found in fingernails, the horn can usually be removed with a sterile razor. However, the underlying condition will still need to be treated. Treatments vary, but they can include surgery, radiation therapy, and chemotherapy.
Notable cases
- Zhang Ruifang, aged 101 (as of 2010), living in Linlou Village, Henan province, China, has grown a cutaneous horn on her forehead, resembling what those who have examined her and her family call "Devil's Horns." Notably, this growth has expanded to reach a total of 6 cm (2.5 inches) in length. Another is forming on the opposite side of her forehead.[6]
- Liang Xiuzhen, aged 87 (as of 2015) living in Guiyan village in Ziyang City, Sichuan province, China, grew a 13-centimetre (5.1-inch) pointed horn from her forehead, earning her the nickname "Unicorn Woman".[7]
- Huang Yuanfan, aged 84 (living in Ziyuan, China).[8]
- Shyam Lal Yadav, aged 74 (living in Madhya Pradesh, India) grew a 10-centimetre (4-inch) horn after an accident, he later got it surgically removed.[9]
- Madame Dimanche, called Widow Sunday, a French woman living in Paris in the early 19th century, grew a 24.9-centimetre (9.8-inch) horn from her forehead in six years from the age of 76 before it was successfully removed by French surgeon Br. Joseph Souberbeille (1754–1846). A wax model of her head is on display at the Mütter Museum, The College of Physicians of Philadelphia, US.[10]
- The Shope papilloma virus can cause rabbits to grow horns. This may have been the source of myths such as the Wolpertinger and the Jackalope.
François Trouille
François Trouille, in the works of Ulisse Aldrovandi
Mary Davis, age 74, of Chester
Elizabeth French of Tenterden
Capt. Levi Becket of Atlantic City, New Jersey, 1870
See also
References
- Copcu, Eray; Sivrioglu, Nazan; Culhaci, Nil (2004). "Cutaneous horns: are these lesions as innocent as they seem to be?". World Journal of Surgical Oncology. 2: 18. doi:10.1186/1477-7819-2-18. PMC 421749. PMID 15176977.
- Yu, R.C.H.; Pryce, D.W.; MacFarlane, A.W.; Stewart, T.W. (1991). "A histopathological study of 643 cutaneous horns". British Journal of Dermatology. 124 (5): 449–52. doi:10.1111/j.1365-2133.1991.tb00624.x. PMID 2039721. S2CID 73180732.
- Solivan, GA; Smith, KJ; James, WD (1990). "Cutaneous horn of the penis: Its association with squamous cell carcinoma and HPV-16 infection". Journal of the American Academy of Dermatology. 23 (5 Pt 2): 969–72. doi:10.1016/0190-9622(90)70315-9. PMID 2172337.
- Nthumba, Peter M (2007). "Giant cutaneous horn in an African woman: a case report". Journal of Medical Case Reports. 1: 170. doi:10.1186/1752-1947-1-170. PMC 2225419. PMID 18053226.
- Wang, W; Wang, C; Xu, S; Chen, C; Tong, X; Liang, Y; Dong, X; Lei, Y; Zheng, X (2007). "Detection of HPV-2 and identification of novel mutations by whole genome sequencing from biopsies of two patients with multiple cutaneous horns". Journal of Clinical Virology. 39 (1): 34–42. doi:10.1016/j.jcv.2007.01.002. PMID 17368088.
- Writers, Staff. (2010-03-09) Chinese woman Zhang Ruifang, aged 101, grows 'devil' horn Archived 2011-06-14 at the Wayback Machine. Herald Sun. Retrieved on 2010-10-27.
- "'Unicorn woman' set to have 'horn' removed from head after 13cm spike stops OAP sleeping". Mirror Online. 27 August 2015. Retrieved 27 August 2015.
- "China's Huang Yuanfan Sprouts 3-Inch Horn From Head". 10 January 2011. Archived from the original on 22 February 2011.
- "74-year-old MP man grows devil's horn after injury". India Today. 14 September 2009.
- The Mütter Museum. Corkscrew-balloon.com (2003-05-26). Retrieved on 2010-10-27.
Further reading
- Matthew Moore (12 November 2007). "Tree man 'who grew roots' may be cured". London: Daily Telegraph. Archived from the original on 13 November 2007. Retrieved 14 November 2007.
- "Images of cutaneous horns". DermAtlas. Archived from the original on 19 April 2003. Retrieved 14 November 2007.
- DiClaudio, Dennis (2006) "The Hypochondriac's Pocket Guide to Horrible Diseases You Probably Already Have", Bloomsbury Publishing, ISBN 978-1-59691-061-4
