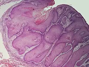
Pilar sheath acanthoma
A pilar sheath acanthoma is a cutaneous condition most often found on the face, particularly above the upper lip in adults.[1]: 675
| Pilar sheath acanthoma | |
|---|---|
![]() | |
| Pilar sheath acanthoma | |
| Specialty | Oncology |
See also
References
- James, William D.; Berger, Timothy G.; et al. (2006). Andrews' Diseases of the Skin: Clinical Dermatology. Saunders Elsevier. ISBN 0-7216-2921-0.
This article is issued from Wikipedia. The text is licensed under Creative Commons - Attribution - Sharealike. Additional terms may apply for the media files.
